この記事の監修者

行徳駅前の歯医者さん🦷
さくら歯科口腔外科クリニック🌸
本日ブログ担当の池田です😊

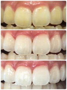
上の画像にある歯の先端に注目してください。
「これは汚れですか?先の方が黒くみえるんです。」
とご相談を受けることがあります。
実はコレ
歯の透明感(明度)のせいなんです。
前回のおさらいですが、色は「色相」「明度」「彩度」の三つの要素によって構成されています。
前回は「彩度」について
今日は『明度』についてお話しします。
明度とは読んだまま、【明るさ】を表す指標になります。
透明感のある白い歯🦷とよく表現されます✨
”明るさ=透明感がある”
のように感じてしまいますが、口の中では透明感がないほうが明るくみえます。
透明感があると、口の中の暗さを反映するので、暗く感じてしまうのです。

1番上が元々の歯の色
真ん中がホームホワイトニング後
白くなりましたが、先端の透明感により、歯の先端は少し暗くみえます。
1番下は、オフィスホワイトニング後
透明感を少なくしたことにより、より白く感じます。
透明感がある方が好き!と言う場合もあるので、これは人それぞれの好みかなぁ。。と思いますが参考までに☺️
歯の表面はエナメル質という層でできています。
このエナメル質、人によって厚みが違います。
エナメル質に厚みがある方がホワイトニングした時、より白くなります。
エナメル質は歯磨き粉をつけてゴシゴシ強くこすったりすることで、削れて薄くなることがあります😫
汚れがついてる!と思ったらまずは歯医者でクリーニング✨&正しいお手入れの仕方をぜひ聞いていただきたいです。
さて、当院では、前歯の被せものに
セラミックとジルコニア
という素材を使用していますが、
色の特徴(明度に関して)でいうと
セラミックは透明感があり
ジルコニアは透明感がない
ので
2つを比べると同じ色(彩度、色相)でもジルコニアの方がより白くみえます。
数年前までのジルコニアは、とってもマットな質感(真珠のよう)で前歯使用するケースはなかったのですが、改良が進み、前歯に使用するケースも増えてきました。
次回は『色相』について
お話ししていきます🦷
label
Reservations and inquiries
下記よりご来院予約をお取りください
※WEBは24時間受け付けております
※お電話は月~土 午前10:00~14:00、午後15:00~18:00
| 診療時間 | 月 | 火 | 水 | 木 | 金 | 土 | 日 |
|---|---|---|---|---|---|---|---|
| 10:00〜14:00 | ● | ● | ● | ● | ● | ● | × |
| 15:00〜18:00 | ● | ● | ● | ● | ● | ● | × |
※日曜・祝日…休診
〒272-0133
千葉県市川市行徳駅前2-7-4
東京メトロ東西線 行徳駅 徒歩1分
【電車】東京メトロ東西線 行徳駅 徒歩1分
【お車】首都高速湾岸線 千鳥町出口7分
【バス】京成トランジットバス・市川市コミュニティバス行徳駅 徒歩1分
※駐車場はございません。近隣のコインパーキングをご利用ください。
行徳駅徒歩1分にある当院は虫歯や歯周病治療だけでなく、親知らずや顎関節症など歯科口腔外科を専門にしたドクターが在籍するクリニックです。また、飲み込みやことばの発達にも積極的に取り組んでいます。 人がひとらしく、生活を営む上で欠かすことのできない要素の一つに「口からものを食べる」という機能があります。 この機能が、病気や障がい、加齢などで低下もしくは失われることは、健康的な生活を送る上で深刻な問題です。 当院では大学講座・大学機関と連携し、一人ひとりに最適な診療を実現できる環境を整えています。 さらに、経験を積んだ歯科衛生士や歯科技工士、言語聴覚士が、患者さまのニーズに細やかにご対応いたします。 歯科口腔外科・矯正歯科・小児歯科・審美歯科・ホワイトニング・歯周病などの治療は行徳行徳さくら歯科口腔外科クリニックにご相談ください。