この記事の監修者

行徳駅前の歯医者さん🦷
🌸行徳さくら歯科口腔外科クリニックです🌸
首都圏で新年早々に雪が降るなんてここ近年ではあまりなかったですね。昨日の朝は凍てついた道を歩くのが怖かったです( ; ; )転んでしまわれた方などいらっしゃいませんか?
さて!当院では昨年9月より本格的に部分的なマウスピース矯正を始めました!ご存じでしたでしょうか??
当ブログでも実際にマウスピース矯正を行っているスタッフが投稿しています。
それぞれのマウスピースを装着した感想がリアルに書かれていますので、ご興味ある方は是非覗いてみてくださいね 🙂
今回は実際の写真をお見せしようと思います 😆
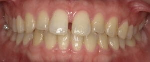
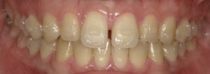
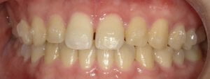
★当院スタッフ その1★
矯正開始前

4週間後

7週間後

どうです?? 徐々に真ん中の隙間が狭くなっているのがお分かりだと思います 😛
今現在も矯正中ですが目み見えて綺麗な歯並びに変身中です!
症例により治療期間は異なります。このスタッフは12週間の治療期間です。約3ヶ月で終われるなんてとてもいいですよね 😆
誰でもこのマウスピース矯正が適応とならないのが残念ですが、ちょとここだけ治ったらいいのになーと思っている方!
ぜひご相談くださいませ 🙂
label
Reservations and inquiries
下記よりご来院予約をお取りください
※WEBは24時間受け付けております
※お電話は月~土 午前10:00~14:00、午後15:00~18:00
| 診療時間 | 月 | 火 | 水 | 木 | 金 | 土 | 日 |
|---|---|---|---|---|---|---|---|
| 10:00〜14:00 | ● | ● | ● | ● | ● | ● | × |
| 15:00〜18:00 | ● | ● | ● | ● | ● | ● | × |
※日曜・祝日…休診
〒272-0133
千葉県市川市行徳駅前2-7-4
東京メトロ東西線 行徳駅 徒歩1分
【電車】東京メトロ東西線 行徳駅 徒歩1分
【お車】首都高速湾岸線 千鳥町出口7分
【バス】京成トランジットバス・市川市コミュニティバス行徳駅 徒歩1分
※駐車場はございません。近隣のコインパーキングをご利用ください。
行徳駅徒歩1分にある当院は虫歯や歯周病治療だけでなく、親知らずや顎関節症など歯科口腔外科を専門にしたドクターが在籍するクリニックです。また、飲み込みやことばの発達にも積極的に取り組んでいます。 人がひとらしく、生活を営む上で欠かすことのできない要素の一つに「口からものを食べる」という機能があります。 この機能が、病気や障がい、加齢などで低下もしくは失われることは、健康的な生活を送る上で深刻な問題です。 当院では大学講座・大学機関と連携し、一人ひとりに最適な診療を実現できる環境を整えています。 さらに、経験を積んだ歯科衛生士や歯科技工士、言語聴覚士が、患者さまのニーズに細やかにご対応いたします。 歯科口腔外科・矯正歯科・小児歯科・審美歯科・ホワイトニング・歯周病などの治療は行徳行徳さくら歯科口腔外科クリニックにご相談ください。